|
El teixit epitelial:
Dir epiteli és el mateix que dir recobriment. Als organismes animals hi ha moltes estructures que precisen d'un recobriment, tant internament com externament, i per això es diu epiteli el recobriment exterior, i endoteli l'interior. Les cèlúlules del teixit epitelial són generalment aplanades, disposades l'una al costat de l'altra, formant una capa. La seva funció primordial és de protegir els teixits que envolta, però no és l'única:moltes vegades podem trobar teixits epitelials en els quals la funció més important és la de secreció de diverses substàncies: són els anomenats epitelis secretors, i són els que conformen les glàndules. Un exemple d'epiteli que al mateix temps segrega un llim és l'epiteli cutani del caragol que podem veure a la imatge.
 |
 |
 |
|
Epiteli simple cúbic
|
Epiteli cilíndric ciliat.
|
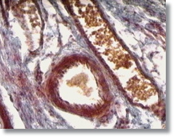
Epiteli glandular tubular.
|
Epiteli simple cúbic
Està format per cèlúlules que tenen la mateixa altura que amplada. Forma els revestiments generals de l'interior del cos dels vertebrats i recobreix nombrosos conductes glandulars. També forma l'epiteli pigmentat de l'ull humà.
Epiteli cilíndric ciliat.
Les cèlúlules són més altes que amples, unes vegades cilíndriques i altres prismàtiques. La seva funció bàsica és la de protegir els teixits que recobreixen contra l'acció dels agents químics agressius i de les accions mecàniques, que generalment són abrasives Es troba a l'intestí de la major part dels animals.
Epiteli glandular tubular. Elabora i excreta determinades substàncies. Cèlúlules de secreció merocrina. Produeixen una secreció continua. Cèlúlules de secreció holocrina. La cèlúlula que produeix la secreció és expulsada fora de l'epiteli. Ex: gl. sebàcies. Cèlúlules de secreció apocrina. Es desprèn part de la cèlúlula que ràpidament tornarà a ser regenerada. Ex: gl. sudorípares.
|

|

|

|
|
Pell de moix.
|
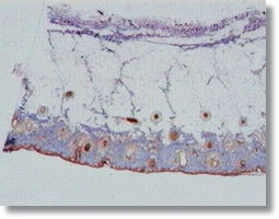
Epitelial pluriestratificat
|
Folúlicle pilós
|
Pell de moix. La constitució de la pell és semblant en tots els mamífers, per tant les diferències principals solen ser només la gruixa, la presència o l'absència de glàndules sudorípares i la densitat dels pèls. En el moix és característic el gran desenvolupament del sistema d'erecció capilúlar, que fa servir per assolir un aspecte de ferocitat que l'ajuda a espantar els enemics.
Epitelial pluriestratificat: L'epidermis està formada per diverses capes. La capa més profunda està formada per cèlúlules molt actives, sempre en procés de multiplicació. La superficial és una capa còrnia més o menys pigmentada segons l'exposició a la llum a què hagi estat sotmesa. A l'epidermis no hi ha vasos sanguinis. Davall es troba la dermis. La zona exterior està formada per teixit conjuntiu fibrós i dens, que fa que tingui la suficient resistència però que al mateix temps sigui elàstica. A la part més profunda de la dermis es troba abundant teixit adipós, que fa d'a‹llant tèrmic.
Folúlicle pilós amb glàndula: A la pell hi ha una gran quantitat d'estructures diverses: Glàndules sudorípares. Glàndules sebàcies, que vessen substàncies grasses en els folúlicles pilosos. A vegades, l'obstrucció de la sortida pot causar una acumulació, anomenada "barb". Pèl cutani i la seva beina. Es poden observar petits músculs agafats a les beines dels pèls, que serveixen per a alçar els pèls (en l'ésser humà és una funció residual, i es pot observar quan es posa la "carn de gallina"). Terminacions sensitives. Capilúlars sanguinis superficials.
Formacions dèrmiques: La dermis constitueix, juntament amb l'epidermis, la coberta exterior dels organismes complexos, però no tan sols és la protecció exterior dels organismes, sinó també un òrgan viu i en contínua activitat, que genera estructures complementàries: pèls en els mamífers, plomes en les aus i escates còrnies en els rèptils, a més d'altres òrgans que tenen el mateix origen que els pèls, com les ungles i els potons
|